Буквально съедает мозг. Зафиксирован новый случай опасной инфекции

В Южной Корее выявили первое в стране заражение амебой неглерия Фоулера. Эта редкая инфекция поражает мозг и практически всегда приводит к летальному исходу. Об особенностях опасного паразита — в материале РИА Новости.
Абсолютный убийца
Несколько раз в год в мировой прессе появляются сообщения о гибели людей после заражения амебой Naegleria fowleri. Ее открыл в 1960-м австралийский врач Малькольм Фоулер — в честь него вид и получил название. Эти простейшие одноклеточные организмы из рода неглерий обитают в естественных и искусственных пресных водоемах, а также — во влажных почвах при температуре плюс 25-30 градусов Цельсия. И при благоприятных условиях быстро размножаются.
В жизненном цикле они проходят три стадии: циста, жгутик и трофозоит. Циста — неактивная временная форма, характеризующаяся наличием защитной оболочки. В этом состоянии паразит пережидает неблагоприятные условия. Жгутиконосцы — промежуточная форма: она движется, но не потребляет питательные вещества и не размножается. Трофозоит — полноценный активный микроорганизм.
Инфицирование человека происходит обычно во время купания: паразит, находящийся в активной или жгутиковой стадии развития, попадает с водой в нос, а затем — через эпителий и обонятельный нерв — в головной мозг, где начинает распространяться по всем отделам. Теоретически можно заразиться и при вдыхании аэрозолей, если в них есть цисты. А вот через пищевод нельзя — в желудочно-кишечном тракте амебу уничтожают бактерии.

Naegleria fowleri часто называют «амебой, поедающей мозг». И это в прямом смысле так. Переваривая ткани мозга, она вызывает первичный амебный менингоэнцефалит (ПАМ). Первые признаки — головная боль, головокружение, рвота — появляются примерно через два-шесть дней после заражения. Затем повышается температура, начинаются галлюцинации, нарушение согласованности движений, судороги и припадки, напоминающие эпилептические. Симптомы усиливаются и учащаются, человек теряет зрение и слух. Через неделю-две наступает смерть.
Летальность составляет около 98 процентов. Но, как показывает практика, если быстро начать лечение, шансы все-таки есть. В США зарегистрировали четыре случая излечения от ПАМ, в основном — среди детей. Еще один — в Иране: там в 2012-м спасли пятилетнего ребенка. А в 2018 году в Испании вылечили десятилетнюю девочку.

© CDC
Мозг, пораженный амебой Naegleria fowleri
Амеба идет на север
За 60 лет, прошедшие с открытия Naegleria fowleri, по всему миру зафиксировали порядка 400 случаев ПАМ, из них 154 — в США. Единичные заболевания отмечали в Бельгии, Великобритании, Новой Зеландии, Пакистане, Индии, Мексике, на Тайване. О риске эпидемии говорить не приходится — от человека к человеку инфекция не передается.
Однако бывали и условно массовые заражения. Так, в Чехии в начале 1960-х за три года заболели 16 человек. Все посещали один и тот же открытый бассейн с недостаточно хлорированной водой. Неглерия весьма устойчива к низким уровням хлора, и ее не раз обнаруживали в водопроводной воде в США и Австралии, где проверки проводят регулярно. Обычно это неопасно, если только не полоскать такой водой нос.
Для Южной Кореи нынешний случай — первый. Пациент умер 21 декабря, через 11 дней после возвращения из Таиланда, где провел четыре месяца. У него были все характерные симптомы ПАМ — головные боли, лихорадка, рвота, дисфункция речи. Диагноз подтвердили патологоанатомы.
По данным американских Центров по контролю и профилактике заболеваний, в последние годы в США болеют чаще, что связывают с общим потеплением. Так, в августе от менингоэнцефалита, вызванного заражением Naegleria fowleri, погиб ребенок, купавшийся в одной из рек Небраски. Раньше случаи заражения ограничивались южными штатами, теперь амеба распространилась в более высоких широтах.
Как не заразиться
На самом деле подхватить инфекцию довольно сложно, даже если искупаться в водоеме, где обитает неглерия. Для этого нужно, чтобы амеба попала на верхнюю стенку носовой полости и прикрепилась к обонятельному нерву, через который она проникает в мозг. Обычно это происходит при нырянии, особенно солдатиком — ногами вперед.
Чтобы защититься от болезни, ученые рекомендуют отказаться от купания в стоячих грязных и теплых водоемах, в частности, в странах Азии и Северной Америки, а в бассейнах и аквапарках советуют пользоваться зажимами для носа.
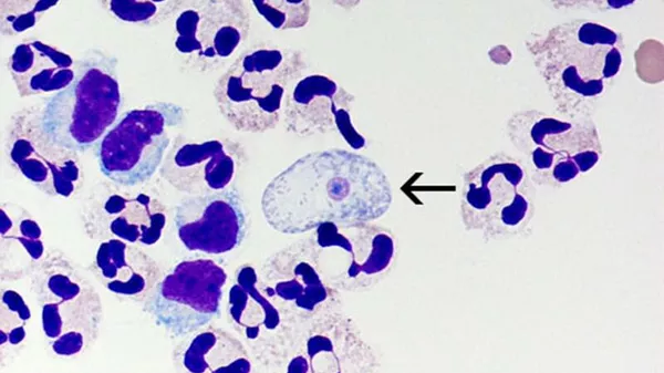
В начальной стадии ПАМ легко спутать с довольно распространенным бактериальным или вирусным менингитом. Поэтому, если в предшествующие две недели до заболевания был контакт с теплой пресной водой в природном или искусственном водоеме, нужно сообщить медикам. Для достоверной диагностики проводят сложную инвазивную процедуру спинномозговой пункции. Полученную жидкость анализируют на наличие амеб методом окрашивания клеток. Лечение проводит врач-инфекционист.

CC0 / CDC/ Dr. Govinda S. Visvesvara /
Выявление амебы Naegleria fowleri в спинномозговой жидкости методом окрашивания клеток
Против неглерии антибиотики не работают. Ученые предлагают различные схемы лечения. Чаще всего рекомендуют внутривенное введение амфотерицина В — противогрибкового средства, эффективного против многих системных инфекций, вызванных паразитами, или другие противомикробные препараты широкого спектра действия. Но инфекция обычно прогрессирует так быстро, что ее диагностируют только после смерти пациента — во время вскрытия. Поэтому просто нет исследований, сравнивающих различные варианты терапии на людях.
В России неглерию Фоулера пока не встречали — как считают ученые, из-за холодного климата. Однако стопроцентной гарантии не дает даже суровая российская зима. Биологи отмечают, что при неблагоприятных условиях микроб переходит в состояние цисты, в котором может существовать несколько лет. Цисты устойчивы к воздействию высоких и низких температур, ультрафиолетового излучения, солнечной радиации, а в высушенном виде ветер способен переносить их на большие расстояния. Попав в благоприятную среду, микроб может перейти в активную стадию. Так что летом любой застойный теплый водоем потенциально опасен.
В зоне риска и водопроводные системы частных домохозяйств: как правило, там не применяют хлорирование и специальную микробную обработку. Но с этим проще — поможет кипячение, при котором неглерия погибает за одну минуту.

