Житель Малайзии с 42 зубами попал в Книгу рекордов Гиннесса

Житель Малайзии Пратап Мунианди попал в Книгу рекордов Гиннеса после того, как у него во рту выросли 42 зуба. Об этом говорится на сайте Книги рекордов Гиннесса.
«Мужчина из Малайзии имеет на 10 зубов больше, чем среднестатистический человек. Это означает, что с общим количеством 42 зуба он является рекордсменом по количеству зубов во рту у мужчин», — говорится в материале.
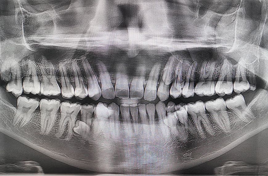
Наличие такого количества зубов подтвердили два стоматолога, которые обнаружили, что у него есть еще два непрорезавшихся. Пратаб Мунианди работает инженером в нефтегазовой отрасли и воспитывает сына. Рекордсмен рассказал, что впервые обратил внимание на зубы в 2021 году во время семейного чаепития. По словам Пратаба, тогда он пошутил с родными, что, похоже, у него растут дополнительные зубы. Вместе они решили их сосчитать и обнаружили 38. Впоследствии рентгеновское обследование показало, что в челюсти есть еще четыре зуба, которые на тот момент не прорезались. Отмечается, что зубы растут необычно, в два ряда.
Рекордсмен заявил: «Это невероятное и особенное чувство знать, что я являюсь обладателем мирового рекорда по количеству зубов».

